年齢を重ねるにつれて、「昔は虫歯にならなかったのに最近しみる」「冷たいものがしみるようになった」と感じることはありませんか?
大人になってからの虫歯は、若い頃とは原因や進行のスピードが違うことがあります。
この記事では、大人の虫歯の原因と、家でできるセルフケア、さらに受診の目安についてわかりやすく解説します。
◼️大人の虫歯は若い頃と何が違うの?

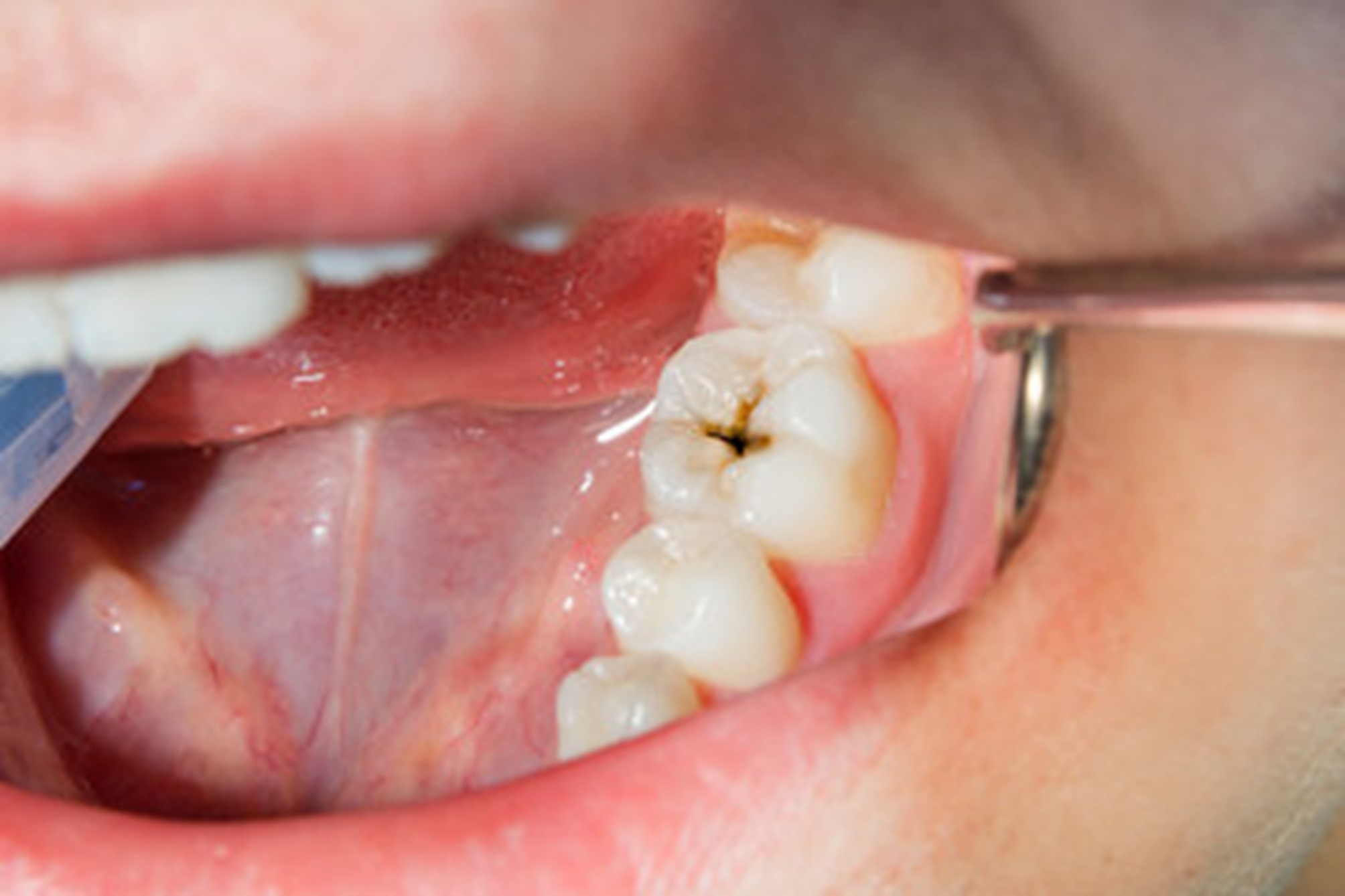
大人の虫歯は、子どものころの虫歯と比べて見え方や進行スピードが異なります。若いころは「歯の表面が白く濁る」程度から始まることが多いですが、大人の場合は歯の根元や歯と歯の間など、目に見えにくい部分にできやすいのが特徴です。
①歯と歯の間の虫歯が多い理由
大人になると歯茎が少しずつ下がってきます。その結果、歯の根元が露出して、柔らかい象牙質がむき出しになり、虫歯になりやすくなります。また、歯の間はブラッシングだけでは汚れが落ちにくく、虫歯の温床になりやすいのです。
②過去の治療跡からの再発
詰め物や被せ物の隙間に汚れが入り込むと、知らないうちに虫歯が再発することがあります。特に30代以降は、こうした再発型の虫歯が目立つようになります。
◼️大人の虫歯の主な原因

大人の虫歯は単なる甘いものの摂りすぎだけでなく、生活習慣や口腔環境も大きく関わっています。
①唾液の量や質の変化
加齢やストレス、薬の影響で唾液の分泌量が減ると、口の中の自浄作用が低下します。唾液は虫歯菌を洗い流す働きがあるため、分泌量が少ないと虫歯ができやすくなります。
②生活習慣の影響
忙しい毎日で間食や夜食が増えると、歯に糖分が長く残り、虫歯菌の活動が活発になります。また、歯磨きの時間が短いと汚れが十分に落ちません。
③歯ぎしりや食いしばり
大人に多い歯ぎしりや食いしばりは、歯の表面を削り、象牙質を露出させることがあります。これにより虫歯が進行しやすくなります。
◼️家でできる大人の虫歯対策

通院をためらう方でも、日常生活で取り入れられる予防法があります。
①正しいブラッシング
歯と歯の間や歯の根元までしっかり磨くことが重要です。毛先が柔らかめの歯ブラシで、1本ずつ丁寧に磨きましょう。歯磨き粉にはフッ素入りを選ぶと、歯の再石灰化を助けます。
②デンタルフロスや歯間ブラシの活用
歯ブラシだけでは届かない歯間の汚れは、フロスや歯間ブラシで取り除きます。特に歯の間に隙間がある人や被せ物がある人は必須です。
③間食の工夫
砂糖入りの飲み物やお菓子をだらだら摂る習慣は避け、時間を決めて食べることが大切です。お茶や水で口をゆすぐだけでも、虫歯リスクを減らせます。
④唾液の分泌を促す
よく噛むことや、キシリトール入りのガムを噛むことも効果的です。唾液の働きを助けることで、自然に虫歯予防につながります。
◼️歯科検診は3ヶ月に1度受けましょう

虫歯は初期の段階では自覚症状がほとんどありません。大人の虫歯は、歯の根元や詰め物の下など見えにくい場所にできやすいため、定期的なチェックが重要です。
特に30〜60代の働く世代は忙しさから自己管理が難しくなりがちですが、3ヶ月に1度の歯科検診を習慣化することで、早期発見・早期治療が可能になり、痛みや治療期間を最小限に抑えられます。
①歯科検診で見てもらえること
定期検診では、歯科医師や歯科衛生士が目に見えない部分まで丁寧にチェックします。
まず、歯の表面だけでなく、歯の根元や歯と歯の間にできている小さな虫歯の有無を確認してくれます。また、歯茎の状態も重要なチェックポイントで、腫れや出血の兆候、歯周病の進行具合を調べることができます。さらに、以前の治療で入れた詰め物や被せ物の劣化や隙間の有無も確認し、虫歯の再発リスクを評価します。加えて、日常のブラッシングでは落としきれないプラークや歯石を専用の器具で取り除くことで、虫歯や歯周病の予防につなげます。
このように、定期検診は「痛くなってから行く場所」ではなく、虫歯や歯周病を未然に防ぐための大切な場所と考えることがポイントです。
◼️虫歯予防のための生活習慣

日常のちょっとした工夫が、将来の歯の健康を守ります。
①食後の口腔ケア
食後はできればすぐに歯磨きをするか、口をゆすぐ習慣をつけましょう。糖分が長時間歯に残ると虫歯リスクが高まります。
②正しい生活リズム
睡眠不足やストレスは唾液の分泌量に影響します。十分な睡眠と適度な運動で、口腔環境を整えましょう。
③喫煙・飲酒の習慣に注意
喫煙は歯周病リスクを高めるだけでなく、唾液の分泌を減らすことがあります。飲酒も糖分や酸の摂取につながるため注意が必要です。
まとめ
大人の虫歯は、歯の見えない部分や過去の治療跡から発生することが多く、自覚症状が出にくいため注意が必要です。しかし、日常のケアや生活習慣の改善、そして3ヶ月に1度の歯科検診を習慣化することで、虫歯の予防と早期発見が可能です。
「もう年だから…」と思わず、今からでも歯の健康を守る行動を始めましょう。少しの意識で、未来の自分の笑顔を守ることができます。
***――――――――――――――――***
八戸市
補綴専門医
セラミック
ジルコニアホワイトニング
インビザラインGO(マウスピース矯正)
中里デンタルクリニック.
歯科医師 歯学博士 中里好宏
住所:八戸市鷹匠小路12-1
Instagram:@nakasatodental
***――――――――――――――――***