「セルフホワイトニングは安いし手軽だから良さそう」
そう感じている方はとても多いのではないでしょうか。
確かに、歯科医院に通う必要がなく、短時間・低価格で始められるセルフホワイトニングは魅力的に見えます。
しかしその一方で、歯科医院にはセルフホワイトニング後の後悔やトラブル相談が数多く寄せられています。
本記事では、セルフホワイトニングが「やらない方がいい」と言われる理由と、後悔しないホワイトニングの選び方を、歯科の視点から分かりやすく解説します。
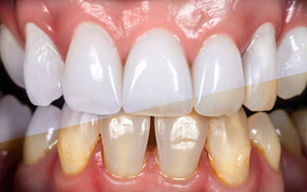
⬛︎ セルフホワイトニングとは?歯科ホワイトニングとの違い
まずは、セルフホワイトニングがどのようなものなのか、歯科医院で行うホワイトニングと何が違うのかを正しく理解することが大切です。
この違いを知らないまま選んでしまうと、「思っていたのと違った」という結果になりやすくなります。
① セルフホワイトニングの基本的な仕組み
セルフホワイトニングは、主に自宅や専門サロンで行うホワイトニング方法です。
使用される薬剤は医薬品ではなく、歯の表面の汚れを落としたり、ツヤを出したりすることを目的としています。
そのため、歯の内部の色を変える「漂白効果」はなく、あくまで表面のクリーニングに近いケアだと考えると分かりやすいでしょう。
② 歯科医院で行うホワイトニングとの決定的な差
歯科医院では、歯科医師・歯科衛生士の管理下で、歯の内部に作用する薬剤を使用します。
これにより、歯そのものの色を明るくすることができ、白さの実感や持続性にも違いが出ます。
③ 「白くならない」と感じやすい理由
セルフホワイトニングで満足できない理由の多くは、「目的と方法が合っていない」ことです。
歯の黄ばみの原因が内部にある場合、セルフケアでは限界があるのです。
⬛︎ セルフホワイトニングが向いている人・向いていない人
セルフホワイトニングは決して「全員におすすめできない」一方で、目的や歯の状態によっては選択肢の一つになる場合もあります。
ここでは、歯科の視点から見た「向いている人」「注意が必要な人」を整理しておきましょう。
① セルフホワイトニングが向いている人
セルフホワイトニングは、歯の色を大きく変えたい人よりも、軽い着色を落として清潔感を出したい人に向いています。
たとえば、コーヒーやお茶による表面の汚れが気になる方や、イベント前に一時的に印象を整えたい場合などです。
また、歯や歯ぐきにトラブルがなく、過度な白さを求めていない方であれば、目的に合うこともあります。
② セルフホワイトニングに注意が必要な人
一方で、歯の黄ばみが強い方、過去に知覚過敏を感じたことがある方、虫歯や歯周病がある可能性がある方は注意が必要です。
こうした場合、セルフホワイトニングでは効果が出にくいだけでなく、しみや痛みなどのトラブルにつながることがあります。
「しっかり白くしたい」「安全に続けたい」と考えている方ほど、最初に歯科医院で相談することが大切です。
⬛︎ なぜセルフホワイトニングはやらない方がいいと言われるのか

「手軽で安全そう」と思われがちなセルフホワイトニングですが、歯科の現場では注意が必要な点も多くあります。
ここでは、よくあるリスクや問題点を具体的に見ていきます。
① 歯がしみる・違和感が出るリスク
セルフホワイトニングでも、使い方や頻度によっては歯の表面が傷つくことがあります。
特に知覚過敏がある方は、しみや痛みが出やすくなる傾向があります。
② 着色が逆に目立つようになるケース
表面が一時的にきれいになることで、細かな傷に着色が入りやすくなり、結果として以前より汚れが目立つ場合もあります。
③ 口腔内トラブルを見逃したまま進めてしまう危険性
虫歯や歯周病がある状態でホワイトニングを行うと、痛みやトラブルが悪化することがあります。
セルフケアでは、こうしたチェックができない点が大きな問題です。
⬛︎ 実際に多いセルフホワイトニング後のトラブル相談

歯科医院には、セルフホワイトニングを試した後に来院される方が少なくありません。
ここでは、特に多い相談内容を紹介します。
① 「全然白くならなかった」という後悔
広告やSNSのイメージと違い、ほとんど変化を感じられなかったという声は非常に多いです。
② 「歯がしみるようになった」というケース
使用後に冷たいものがしみるようになり、日常生活に支障が出てしまう方もいます。
③ 「結局歯医者に行くことになった」という現実
トラブル対応や再ホワイトニングのため、結果的に遠回りになるケースも少なくありません。
⬛︎ 後悔しないための正しいホワイトニングの選び方

ホワイトニングで後悔しないためには、最初の選び方がとても重要です。
「安い」「簡単」だけで決めない視点を持ちましょう。
① 価格ではなく「目的」から考える
どこまで白くしたいのか、どれくらい維持したいのかを明確にすることが大切です。
② 歯科医院で相談するメリット
歯の状態を確認した上で、最適な方法を提案してもらえるのは歯科医院ならではの強みです。
③ 安全に・長く続けられる方法を選ぶ
ホワイトニングは一時的なものではなく、歯の健康とセットで考える必要があります。
■まとめ
セルフホワイトニングは、すべての人にとって悪いものではありません。
しかし、効果やリスクを正しく理解せずに選んでしまうと、後悔につながりやすいのも事実です。
「なぜ歯を白くしたいのか」「安全に続けられるか」を一度立ち止まって考え、必要であれば歯科医院に相談することが、結果的に満足への近道になります。
***――――――――――――――――***
八戸市
補綴専門医
セラミック
ジルコニアホワイトニング
インビザラインGO(マウスピース矯正)
中里デンタルクリニック.
歯科医師 歯学博士 監修 中里好宏
住所:八戸市鷹匠小路12-1
Instagram:@nakasatodental
***――――――――――――――――***