
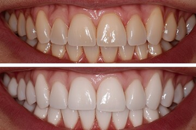
ホワイトニングは、歯の印象を明るくしたい方に広く選ばれている方法です。しかし施術後の歯は一時的にデリケートな状態になるため、食事内容によって白さの保ちやすさが変わることがあります。
本記事では、ホワイトニング後に「食べていいもの」「避けたほうがよいもの」「白さを保つ食事の工夫」をわかりやすくまとめています。
さらに後半では、ホワイトニング後のホームケアとして使われることのあるNBペースト(一般歯みがき剤)についても紹介します。
◼️ホワイトニング後に食事へ注意すべき理由

ホワイトニング直後の歯は、普段より外からの刺激を受けやすい性質があります。
そのため、色の濃い食品や酸性の飲み物が影響しやすく、白さを損なう原因になることがあります。
以下では、その理由を詳しく解説します。
理由① 歯の表面が一時的に脱水し、色素を吸収しやすい状態になる
ホワイトニングで一般的に使われる薬剤(過酸化物など)は、歯の表面のエナメル質に作用します。この時、歯が一時的に脱水し、外部からの色素を取り込みやすい構造に変化するとされています。
これは施術直後から数時間〜24時間のあいだに起こりやすく、その期間は特に食事の内容に配慮が必要です。
理由② 一時的に刺激を受けやすい状態になることがある
ホワイトニング後は、冷たいものや酸味の強いものがしみる場合があります。
これは歯の内部にある“象牙細管”が刺激を受けやすくなるためで、数時間〜数日程度で落ち着くケースが多いとされています。
理由③ 歯を守るペリクル層が薄くなるため
歯の表面には“ペリクル”と呼ばれる薄い膜が存在しており、外部刺激から守る役割を担います。
ホワイトニング直後はこの膜が一時的に薄くなる可能性があるため、酸や色素の影響を受けやすい状態になります。
◼️ホワイトニング後に食べていい食べ物

ホワイトニング直後は、白色や淡色の食品(ホワイトフード)が安心とされています。
色素が少なく刺激も少ないため、歯への影響が起こりにくいことが理由です。
①主食類
- 白ごはん
- 食パン
- うどん(薄味)
- おかゆ
②たんぱく質
- 白身魚(鯛、タラなど)
- 鶏肉(塩味)
- 豆腐、白い大豆製品
③野菜・乳製品
- 大根
- キャベツ
- カリフラワー
- 牛乳
- ヨーグルト(無着色)
④飲み物
- 水
- 白湯
- ミネラルウォーター
- 透明な飲料(色の薄いもの)
これらの食品は色が薄いため、ホワイトニング直後でも取り入れやすい食事です。
◼️ホワイトニング後に避けたいNG食べ物・飲み物

ホワイトニング直後は、以下の3つの性質を持つ「色の濃い食品・飲み物・酸性食品」は避けることが推奨されています。
①× 濃い色の食品
- カレー
- ミートソース
- トマト系の濃い料理
- 醤油の濃い料理
- チョコレート
- きんぴら、佃煮
これらは着色成分(色素量)が多く、色戻りの原因となります。
②× 濃い色の飲み物
- コーヒー
- 紅茶
- ウーロン茶
- 赤ワイン
- コーラなどの濃色炭酸飲料
色素と酸の双方を含むものも多く、ホワイトニング直後には不向きです。
③× 酸性の強い食品
- 柑橘類
- 酢の物
- スポーツドリンク(pHが低い)
- トマト、キウイなどの酸味果物
酸性食品はエナメル質を刺激するため、施術直後は控えると安心です。
◼️ホワイトニング後の食事のタイミングと戻し方

ホワイトニング後の食事制限は永続的なものではなく、時間が経つにつれ歯の状態も安定します。
以下は一般的に言われている目安です。
①オフィスホワイトニングの場合
一般的に 24〜48時間 は色の濃い食事を避けることが推奨されます。
②ホームホワイトニングの場合
薬剤濃度が穏やかなため、2〜6時間後から通常の食事に戻せるケースもあります。
※ただし、施術方法や薬剤濃度により異なるため、担当医療機関で受けた説明を優先してください。
◼️ホワイトニング後の白さを保ちやすくする日常ケア
白さを長持ちさせるためには、日常生活で以下のポイントを意識すると効果的です。
① 歯面の清掃を丁寧に行う
着色は歯の表面に付着した汚れに沈着しやすいため、
歯ブラシ・デンタルフロス・歯間ブラシを活用し、歯面を清潔に保つ習慣が大切です。
② 色の濃い飲み物はストローを使う方法もある
どうしてもコーヒーや紅茶を飲む必要がある場合は、
ストローを使って歯に触れる量を減らす方法も知られています。
③ 食後は水で軽くゆすぐ
口の中を軽くゆすぐだけで、色素や酸の滞留を抑えることができます。
◼️ホワイトニング後のケアに使われる「NBペースト」の紹介(一般歯みがき剤)

ここからは、ホワイトニング後のホームケアとして利用されることがある
NBペースト(ナチュラルボーテトゥースペースト)について、医療広告ガイドライン・薬機法に抵触しない範囲で解説します。
- NBペーストの特徴
・硝酸カリウム配合
一般的に、知覚過敏用歯みがき剤に使用される成分のひとつとして知られています。
・2種類のアパタイトを配合
歯の表面を整える目的で使用される成分として知られています。
・7年前に開発され、市販の歯みがき剤として使われている商品
※効果効能の断定は行わず、成分に関する一般的情報に留めています。
- NBペーストのホームケア方法(一般的な使用法)
・歯磨き後に歯ブラシで薄く塗布
・少量の水で軽くゆすぐ
・しみが気になる場面で、トレーを併用する方法が紹介される場合もある
あくまで“歯みがき剤としての使用方法”に基づく説明です。
- NBペーストが選ばれる理由
・ホワイトニング中のケアに使われるケースがある
・毎日の仕上げケアとして取り入れやすい
・ツルッとした磨き上がりを好む方にも使われている
◼️中里デンタルクリニックのホワイトニングの特徴
当院のホワイトニングは、「飲食制限がない」 ことが大きな特徴です。
一般的なホワイトニングでは、施術直後に色の濃い食事や酸性の飲食物を控えるよう指導されるケースが多くあります。しかし、当院で採用しているホワイトニングシステムは、薬剤の性質と照射方法の工夫により 施術後すぐに通常の食事をしても問題ありません。
以下では、中里デンタルクリニックならではのこだわりを紹介します。
① 施術後の 飲食制限なし
薬剤が歯に過度な負担をかけにくい設計で、施術直後でも飲食制限を設けていません。
「忙しくて制限が難しい」「仕事柄コーヒーを控えられない」という方にも選ばれています。
② しみにくい薬剤を使用
一般的にホワイトニング直後は刺激を感じやすくなることがありますが、
当院では 刺激を抑えた薬剤 を使用しており、「しみにくい」点でも好評です。
③ 医院内での丁寧なカウンセリング
初回は、
・歯の状態
・白くなる範囲や回数の目安
・日常ケアのポイント
などを丁寧に説明し、患者さまごとに最適なプランを提案しています。
④ 自然な白さを目指すホワイトニング
中里デンタルクリニックのホワイトニングは、
「不自然に白すぎる仕上がり」ではなく、顔全体に調和する自然で明るい白さを大切にしています。
⑤ 施術後のホームケアもサポート
ホワイトニング後の白さをキープするための歯みがき剤やケアの方法についても、
医院で丁寧にご案内しています。
「食事制限がないホワイトニングをしたい」
「しみにくい施術を選びたい」
そんな方にとって、中里デンタルクリニックのホワイトニングは通いやすい選択肢となります。
まとめ:ホワイトニング後の食事とケアを正しく理解し、白さを長く楽しむ
・施術直後は歯が色を吸収しやすい状態のため、食事の内容に注意が必要
・白い食品や刺激の少ない食品が安心
・濃い色の食品・酸性飲料は一時的に控える
・ホワイトニング後のケアには、日常的な清掃習慣がとても大切
・NBペーストのような一般歯みがき剤を取り入れる方法もある
日々の小さな習慣が、ホワイトニング後の白さを長く保つことにつながります。
食事とケアをうまく活用しながら、明るい口元をキープしていきましょう。
ホワイトニング:https://nakasato-dental.com/whitening/
***――――――――――――――――***
八戸市
補綴専門医
セラミック
ジルコニアホワイトニング
インビザラインGO(マウスピース矯正)
中里デンタルクリニック.
歯科医師 歯学博士 中里好宏
住所:八戸市鷹匠小路12-1
Instagram:@nakasatodental
***――――――――――――――――***